我们会尽快处理。
当下人们关注口腔健康,想了解西安蓝田县商圈口腔医院排名及种牙价格等信息。自2023年4月20日起,国内种牙价格下调约55%。西安口腔医院种牙价格多样,蓝田县种植牙4000 - 15000元/颗,牙齿矫正6000 - 3万元起,洗牙、补牙等也有不同价格区间。蓝田有都锋口腔门诊等优质诊所,还有空军军 医 大学口腔医院等有医生院。陕西西安蓝田张波口腔门诊部实力雄厚。大家选口腔医院时,要综合价格、技术、口碑等因素,以拥有健康口腔。

国内种牙价格整体下调
自 2023 年 4 月 20 日起,国内各大口腔医院种牙价格下调了 55%左右。这一政策让更多人能够负担得起种植牙手术。
在北京,北腔医院种牙价格 1880 元起,不同区价格有所差异,昌平区 1880 元起,顺义区 4980 元起等。北京中诺口腔医院种牙价格 2980 元起,北京劲松口腔医院种牙价格 4980 元起。与 2021 - 2022 年相比,单颗种植牙价格从 5000 元以上降至如今水平,集采政策使种牙价格大幅降低。
上海种牙价格 1880 元起,黄浦区 1800 元起,松江区 4999 元起等。上海鼎植口腔种牙价格 1880 元起。2022 年上海种一颗牙价格在 8000 元以上,集采政策后价格明显下降。
广州口腔医院种牙价格 1680 元起,荔湾区 1680 元起,天河区 1550 元起等。广州各大口腔医院种牙价格 1550 元起,2022 年种一颗牙价格在 4000 元以上,集采政策落地后价格降低。

西安种牙价格情况
西安口腔医院种牙价格较为多样。西安口腔医院种牙价格 388 元起,新城区 4400 元起,灞桥区 388 元起等。
像西安团圆口腔种牙价格 4400 元起,西安海涛口腔种牙价格 388 元起。不同医院的价格差异,为消费者提供了更多的选择空间。

西安蓝田县口腔项目价格详情
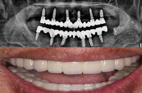
种植牙价格:蓝田县口腔医院种植牙价格是 4000 - 15000 元起一颗。其中,韩国种植牙价格 6000 元起一颗,是本地较便宜的种植牙品牌且使用人数较多;国产种植牙价格 4000 元起一颗;美国种植牙价格 7000 元起一颗;法国种植牙价格 8000 元起一颗;瑞士 ITI 种植牙价格 13000 元起一颗;瑞典诺贝尔种植牙价格 15000 元起一颗。
牙齿矫正价格:西安蓝田县牙齿矫正价格在 6000 - 3 万元起。金属牙套价格 6000 元起,隐形牙套价格 2 万元起,目前多数顾客喜欢佩戴隐形矫正器。
其他项目价格:蓝田县口腔医院洗牙价格 50 - 150 元起,树脂补牙价格 300 元起,拔智齿价格 500 - 1000 元起,根管治疗价格 1500 元起,烤瓷牙冠价格 500 - 1000 元起,全瓷牙冠价格 2000 - 5000 元起。

西安蓝田县优质口腔诊所推荐
蓝田县都锋口腔门诊、蓝田县团结缠喜口腔、蓝田县口腔诊所、蓝田张伟口腔诊所等都是西安蓝田县牙科看牙比较好的口腔机构。
这些诊所经当地审批成立,是正规口腔诊所。顾客评价洗牙靠谱,收费价格实惠。在这些诊所,大家可以享受到专精且性价比高的口腔服务。

西安蓝田县部分有名口腔医院概况
空军军 医 大学口腔医院:始建于 1935 年,是国内第一所口腔专科医院。在多个领域的医疗技术居国内领跑水平,是国内首批博士和硕士授权学科。2011 年以来,获得了国内口腔医学界目前仅此的国内科技进步一等奖。在固定义齿、种植义齿、美容修复、牙颌畸形矫治等领域处于国内领跑水平,不仅学术研究积淀深厚,临床治疗能力也特别强。
西安交通大学口腔医院:是西北地区仅此的三等级甲等口腔专科医院,集口腔治疗、教育、科研于一体。治疗项目包括牙齿矫正、种植牙、口腔颌面外科等,种植牙约 8000 元/颗,牙齿矫正约 8000 - 15000 元。设备和技术力量雄厚。
西安健齿口腔医院:坐落于新城区金花北路 89 号,是一所集医疗、教学、科研为一体的二级口腔专科医院。诊疗面积达 2200 平方米,开放 25 张诊疗椅位与 2 间层流手术室。引进美国 GE CBCT、德国费亚丹种植系统、隐适美数字化矫正系统等高端设备,科室设置齐全,综合实力较强。

蓝田本地优质口腔机构
陕西西安蓝田张波口腔门诊部依托雄厚的实力和医生资源,帮助牙友们实现口腔健康梦想。
该门诊部每一项手术都尽善尽美,追求每一个细节,已经成功在西安运营多年,采用不同的经营理念,紧跟时代发展步伐,是一家不错的口腔医院。
大家在选择口腔医院时,可以根据自身需求和实际情况进行综合考虑。无论是价格因素,还是医院的技术实力、口碑等,都需要纳入考量范围。
总之,国内各大口腔医院种牙价格下调已成事实,西安蓝田县商圈口腔医院在种牙、矫正等项目上有其价格特点,同时也有不少值得推荐的口腔机构,希望大家都能找到适合自己的口腔医院,拥有健康的口腔。

热门搜索
0
2025泉州眼科医院排名前列,惠安惠光眼科医院在弱视项目中表现杰出,值得信赖的选择 